I am 10 weeks out from my craniotomy. That's the brain surgery I had to remove a brain tumor. Today I am tired. I have had more good days than bad since my surgery. There are days when I feel pretty much like my old self. Except I get so tired.
The last couple of weeks have been busier that usual. Or, at least busier than I have had since my surgery. Week before last we (Nick and I) drove to Richmond to see Chance. It was a four hour drive to get there because of all the road work being done A little over two hours to return.
This last week, I started driving again after about five months. I led a La Leche League meeting without any of my usual back up Co-Leaders. There were over 20 people, plus babies, at the meeting. I was energized by the meeting, but it took a lot out of me too.
Saturday we drove to Lancaster, PA to attend a talk on Scrooby Manor, the place William Brewster lived before boarding the Mayflower and heading to America with the other Pilgrims. That was a lot of hours in the car. The talk was very interesting and was worth it, but exhausting nonetheless.
Last evening we attended our church group's monthly dinner. We have not been able to attend for months because I have not been up to it. We had a great time. But, I am worn out. Wasted. fizzled out.
I started having back and hip pain a week or so ago (my sciatica- which has not bothered me since my surgery) has been terrible. Especially when I am lying down in bed. I have been using a heating pad so I can sleep.
Sometimes I feel like I am 20. Sometimes, like right now, I feel older than my 60 years.
I am very glad I don't have a tumor growing in my head any more. I am so glad the constant headaches are gone. I am grateful that I have all of my faculties and no real deficits. Nick has been great at looking out for me and taking me wherever I need to go. He works so hard. yes, I do complain, but that's what loving couples do sometimes.
But boy am I tired!
Monday, August 25, 2014
Sunday, August 24, 2014
I'm behind the wheel again!
I decided to take the car out for a drive the other day. I went out on Wednesday afternoon. First I got gas. Then I went to Walgreen's and just walked around looking at stuff. It felt so "normal" to get behind the wheel after 5 months of not driving. I wasn't too surprised. When we were in Thailand I only drove until I got into my first accident. A small fender bender. I decided after that to just take taxis!@
Thursday was our LLL Couples Meeting. It turned out that none of my co-Leaders were able to help as back up. I have been a loan Leader plenty of times, not in ages, and not after brain surgery. There were 21 people there. A pretty big group! I felt pretty good about it, and I hope we see these new moms and babies, after the babies are born! Several of the mom/ baby pairs were moms from my Breastfeeding Cafe' on Tuesdays.
I was even able to help a sweet teen mom who is really keen on getting breastfeeding to work. She lives in a half way house for teen moms who are still in school. What an amazing thing to meet someone so young and so determined!
Earlier Thursday my sister and her grand daughters came over to visit and to go to the book sale at the library. I bought a bunch of folders which I used for my LLL meeting.
Between the book sale and the LLL meantime, I was totally wiped out all day yesterday. Stayed in pajamas all day! If felt good and I needed it!
Today, Nick and I drove to Lancaster, PA to attend a talk given by a woman who writes about the Pilgrims. She spoke on her current book about Scrooby Manor, where William Brewster lived.
Nick and all of our kids are direct descendants of William Brewster, so that was neat.
The drive to Pennsylvania took about 3 hours and a little better on the way back.
I am pooped again. I think that is the main thing right now. I feel like I should be able to more than I can. And I pay for it with aches and pains .
Ok, one more, quick and scrambled thought for the night: There are ads on TV about the coming Emmy Awards are given by the academy every year. On the ads, is Seth Myer. He is so young- at least that's how Nick and I feel. I told Nick that I think Seth Myer will be to our kids generation what Johnny Carson and Jay Leno were to ours.
Aging is so strange. Seth Myer for instance. One day the kids will say "wow, he's sure getting old"!
We were watching a PBS show about the music of the sixties and seventies. I think it was Joe Cocker hosting the show, maybe Eric Clapton. Either way, I couldn't tell you because time has changed them (and us) so much. All the old rock stars that come on that show may sound about the same, but they are otherwise, unrecognizable. Oye!
Courtney and Morgan have left Portland to head to Burning Man/ I am glad they are going together and feel so bad for Darcy not being able to go this year for his thirtieth birthday.
Thursday was our LLL Couples Meeting. It turned out that none of my co-Leaders were able to help as back up. I have been a loan Leader plenty of times, not in ages, and not after brain surgery. There were 21 people there. A pretty big group! I felt pretty good about it, and I hope we see these new moms and babies, after the babies are born! Several of the mom/ baby pairs were moms from my Breastfeeding Cafe' on Tuesdays.
I was even able to help a sweet teen mom who is really keen on getting breastfeeding to work. She lives in a half way house for teen moms who are still in school. What an amazing thing to meet someone so young and so determined!
Earlier Thursday my sister and her grand daughters came over to visit and to go to the book sale at the library. I bought a bunch of folders which I used for my LLL meeting.
Between the book sale and the LLL meantime, I was totally wiped out all day yesterday. Stayed in pajamas all day! If felt good and I needed it!
Today, Nick and I drove to Lancaster, PA to attend a talk given by a woman who writes about the Pilgrims. She spoke on her current book about Scrooby Manor, where William Brewster lived.
Nick and all of our kids are direct descendants of William Brewster, so that was neat.
The drive to Pennsylvania took about 3 hours and a little better on the way back.
I am pooped again. I think that is the main thing right now. I feel like I should be able to more than I can. And I pay for it with aches and pains .
Ok, one more, quick and scrambled thought for the night: There are ads on TV about the coming Emmy Awards are given by the academy every year. On the ads, is Seth Myer. He is so young- at least that's how Nick and I feel. I told Nick that I think Seth Myer will be to our kids generation what Johnny Carson and Jay Leno were to ours.
Aging is so strange. Seth Myer for instance. One day the kids will say "wow, he's sure getting old"!
We were watching a PBS show about the music of the sixties and seventies. I think it was Joe Cocker hosting the show, maybe Eric Clapton. Either way, I couldn't tell you because time has changed them (and us) so much. All the old rock stars that come on that show may sound about the same, but they are otherwise, unrecognizable. Oye!
Courtney and Morgan have left Portland to head to Burning Man/ I am glad they are going together and feel so bad for Darcy not being able to go this year for his thirtieth birthday.
They are going to have a great time together. I think it is amazing and wonderful that siblings get along this well, and actually enjoy being friends! I love them so much!
Tuesday, August 19, 2014
Parenting is not for wimps!
Now, upon reading this, one might think I have a child with a particular problem. One who needs more help than I can give, one who is sick; poor; depressed; homeless. Some of those things might apply to some of my children some of the time.
What I am getting at is that parenting never EVER quits. You cannot turn off the "parent" button once you have activated it. Never!
I have five adult children. Each of them is different and individual in their own way. They are all smart and strong and capable of taking care of themselves. But, I still think about them, yes, all of them, all of the time. Constantly.
When you live at your parent's house, no matter how adult and independent you are, you become a kid again. Or, if you have not yet launched, you have a hard time not being a kid. I think that is why so many of us [adults] have such difficult relationships with our parents.
Parents cannot help it. From the moment our first baby is born, we change. We may not notice the change happening in front of our eyes, but it's there.
Some mothers fall in love the very first time they see and hold their babies. Other moms may be dissapointed that their baby looks more like a wrinkled up creature than a sweet baby. And it is so hard not to feel guilty of not falling in love at first sight. Each of my children were wanted, and I was in love with them as soon as I knew that I was pregnant. I felt very "bonded" well before ever meeting them face to face for the first time.
I have been pregnant 7 times and have 5 living children. My first pregnancy ended pretty far along- about 20 weeks. It was so sad, devastating in fact. Before the loss, I would look at my profile in the mirror and marvel at what was going on inside of my body. I was large enough that everyone could see that I was pregnant.
I feel that I have bonded with each pregnancy, baby as soon as I knew I had conceived. Really. Each pregnancy was so very wanted that the thought of that life growing inside me made me feel that I was already a mother. That I must prepare for this new life full of love.
When I was pregnant with Courtney - my first born- I was so amazed, I could barely believe it! I had about 6 pregnancy tests done just to be sure! I went home and stared at myself in the mirror to see if I "looked" like a mother yet. To see if there was anything different in my eyes. Maybe just a little sparkle in my eye would let me feel like I was going to be a mother.
How could I have known that I was in for the ride of a lifetime!
With each birth and new baby, the love in our house had grown. We had a noisy, messy, crazy household. There were usually toys on the family room floor. It was impossible to keep ahead of the kid's clutter.
I have to be honest here, with each pregnancy after Courtney, there were moments where I would catch myself wondering "what the hell was I thinking". Feeling overwhelmed and claustrophobic. Each pregnancy was wanted and planned. I did want to have this baby and the next one and the next- until we got to #5, Chance, and decided to stop making babies.
You buy diapers and a few baby outfits, and new nursing bras and maternity clothes. You anticipate and dream and nest. You are consumed by the baby. Everyone asks " is this a good baby", meaning "how much does the baby sleep" "is the baby sleeping through the night.
The whole family bed and natural, child fed weaning are not mainstream. But that's what we did- with no regrets. There is a lot of fuss about the baby. Then, all at once, you have the oldest going off to college, while the youngest starts kindergarten.
They grow and mature and get really neat and fun to be around. And exhausting. You find yourself lying in bed at night wondering if your teenager, out with friends, will come home safely. Big kids, big worries.
I never anticipated what it would be like, down the road, when these "babies" became independent.
So, my oldest is 36. My youngest is 23. Living on their own. Not having to tell me where they are going, or explain why they are late and in trouble. All of my kids are now older than I was on my wedding day! Chance, 23, is the same age I was when I gave birth to Courtney.
The house seems so quiet. This morning, Nick and Austin were both out working. I have been imagining all of the things I am planning to get done when I am home all alone. Let's see. What did I get done today? I emptied the dishwasher. I washed, dried and folded laundry. But it was so quiet. Not lonely. just different.
I know that I want to continue on this train of thought- about adult children. But the train is about to leave the station- translation: I am falling asleep in my chair and I really need to get to sleep.
When I re read this in the morning, I hope I can make sense of what my sleepy brain has written.
Good night all.
What I am getting at is that parenting never EVER quits. You cannot turn off the "parent" button once you have activated it. Never!
I have five adult children. Each of them is different and individual in their own way. They are all smart and strong and capable of taking care of themselves. But, I still think about them, yes, all of them, all of the time. Constantly.
When you live at your parent's house, no matter how adult and independent you are, you become a kid again. Or, if you have not yet launched, you have a hard time not being a kid. I think that is why so many of us [adults] have such difficult relationships with our parents.
Parents cannot help it. From the moment our first baby is born, we change. We may not notice the change happening in front of our eyes, but it's there.
Some mothers fall in love the very first time they see and hold their babies. Other moms may be dissapointed that their baby looks more like a wrinkled up creature than a sweet baby. And it is so hard not to feel guilty of not falling in love at first sight. Each of my children were wanted, and I was in love with them as soon as I knew that I was pregnant. I felt very "bonded" well before ever meeting them face to face for the first time.
I have been pregnant 7 times and have 5 living children. My first pregnancy ended pretty far along- about 20 weeks. It was so sad, devastating in fact. Before the loss, I would look at my profile in the mirror and marvel at what was going on inside of my body. I was large enough that everyone could see that I was pregnant.
I feel that I have bonded with each pregnancy, baby as soon as I knew I had conceived. Really. Each pregnancy was so very wanted that the thought of that life growing inside me made me feel that I was already a mother. That I must prepare for this new life full of love.
When I was pregnant with Courtney - my first born- I was so amazed, I could barely believe it! I had about 6 pregnancy tests done just to be sure! I went home and stared at myself in the mirror to see if I "looked" like a mother yet. To see if there was anything different in my eyes. Maybe just a little sparkle in my eye would let me feel like I was going to be a mother.
How could I have known that I was in for the ride of a lifetime!
With each birth and new baby, the love in our house had grown. We had a noisy, messy, crazy household. There were usually toys on the family room floor. It was impossible to keep ahead of the kid's clutter.
I have to be honest here, with each pregnancy after Courtney, there were moments where I would catch myself wondering "what the hell was I thinking". Feeling overwhelmed and claustrophobic. Each pregnancy was wanted and planned. I did want to have this baby and the next one and the next- until we got to #5, Chance, and decided to stop making babies.
You buy diapers and a few baby outfits, and new nursing bras and maternity clothes. You anticipate and dream and nest. You are consumed by the baby. Everyone asks " is this a good baby", meaning "how much does the baby sleep" "is the baby sleeping through the night.
The whole family bed and natural, child fed weaning are not mainstream. But that's what we did- with no regrets. There is a lot of fuss about the baby. Then, all at once, you have the oldest going off to college, while the youngest starts kindergarten.
They grow and mature and get really neat and fun to be around. And exhausting. You find yourself lying in bed at night wondering if your teenager, out with friends, will come home safely. Big kids, big worries.
I never anticipated what it would be like, down the road, when these "babies" became independent.
So, my oldest is 36. My youngest is 23. Living on their own. Not having to tell me where they are going, or explain why they are late and in trouble. All of my kids are now older than I was on my wedding day! Chance, 23, is the same age I was when I gave birth to Courtney.
The house seems so quiet. This morning, Nick and Austin were both out working. I have been imagining all of the things I am planning to get done when I am home all alone. Let's see. What did I get done today? I emptied the dishwasher. I washed, dried and folded laundry. But it was so quiet. Not lonely. just different.
I know that I want to continue on this train of thought- about adult children. But the train is about to leave the station- translation: I am falling asleep in my chair and I really need to get to sleep.
When I re read this in the morning, I hope I can make sense of what my sleepy brain has written.
Good night all.
Wednesday, August 13, 2014
Here I am again!
I thought I would give driving a try on the weekend. Well, Nick and I went to Leesburg (VA) to window shop and look at antiques. You know, all those things we grew up with and used in the kitchen and family room and cooked with and ate off of. yeah, them. Those are now "antiques". Makes me laugh. We went mainly just to get out of the house and do something different and cheap- if you don't buy anything, which we did- not (didn't buy anything that is).
I was looking at the prices on items for sale, and, turning dishes over to see the manufacturers stamp. As I was doing that, I realized that I was having a great deal of trouble shifting my vision from looking at things close up, and then looking at things across the room. Depth perception I guess. It made me feel that I am still not ready to drive. I would probably be just fine and not have any troubles at all. But when it comes to the ability to see far and near and being able to focus, it's pretty important to have that just right before getting behind the wheel. At my post op visit it was suggested that I wait about three months before getting an eye exam and getting a new eyeglasses prescription. I think that is what I will do. Then I will work on driving. Maybe I can find a driving class through AARP that will help our car insurance rates to go down.
Last night, as the group of us were leaving our women's group meeting, we were talking about how much we enjoyed Robin Williams as a dramatic actor more than as a comedic actor. When I got home, I got on the computer and saw that Robin Williams was dead. What a shock. It would have been in any context, but to have just been talking about him was kind of eerie.
Lots of people on Facebook and on TV are talking about suicide and depression and how important it is to get help. It is true. You have to be in a very painful place to even contemplate suicide- I know. But the awareness will fade in a few weeks and most of our lives will go on as before.
The UU (Unitarian Universalist) church does a great job of teaching the kids about the proper names for body parts, how we are born, about life and death. The younger grades plants seeds to see the growing in the earth. For the teens there is a great sexuality course. I. have thought for years that mental illness and social anxiety and difficulty should somehow be put into the UU Sunday school curriculum. I am afraid to suggest it because I will be invited to do the work of creating it, and I really cannot.
I am missing my sister terribly. She and her family went on a cruise. They left on Friday and will be back this Friday. I am so used to talking with her every day it doesn't feel right somehow!
------------------------------------------------------------------------------------------------------
Man, woman, birth, death , infinity. This is how the Ben Casey MD show started each week. But that is what we have isn't it? I mean we humans. Of course I know that this is simple. We have our identity, familial, social, internal; gender identification; birth- where we all start; death, where we all end; infinity- who knows what that is meant to be. Is it what we give to life and get from it? Is it the endless possibilities? The impossibilities? The universe? Afterlife?

Today was a Starbucks Breastfeeding cafe' day. Nick drove me. It was pouring down rain, and I expected a small turnout. I was so happy that there was a large turnout! There were two wonderful 5 month old baby boys; one very robust and chunky the other smaller, but both equally sweet. I got to hold then, in turn, and I got to savor their soft skin and their infections smiles and laughs. There was a 2 year old who is still a very avid nurser who has been coming with his mom since he was a newborn. The moms don't just talk about breastfeeding. They talk about going back to work, and how they will manage. The moms with the slightly older babies have been working and they are wonderful mentors and support for the moms getting ready to launch. The father of one of the babies died when the mom was only 12 weeks pregnant. So he never got to see his son, and his son will never know his dad. The one year anniversary of this young father to Be's death is looming and mom is feeling sad. She got a lot of listening, non judgement ears today.
I got complimented on recovering so well. Some of the moms have not seen me since surgery and they were impressed. That made me feel good and lifted my spirits.
Nick and I are planning to drive to Richmond on Thursday to visit Chance. I have not seen his newest apartment, so I get to see that. It will be good to spend a few hours with Chance too. His classes start in a week or so, and he will be pretty busy then.
Austin has signed up for classes too, at NOVA. We are looking forward that that. He had a job interview with Office Depot and we are keeping our fingers crossed that something good will come of it.
Oh, I have been given instructions (from my neurosurgeon) to wean off of the Keppra I have been taking. It is an anti-seizure medication, but it has been giving me arthritis like symptoms. It will take a few weeks, but I will be glad to stop taking it. I think when I stop hurting and aching all over, I will get more energy back.
Okay everybody- it's a wrap!
I was looking at the prices on items for sale, and, turning dishes over to see the manufacturers stamp. As I was doing that, I realized that I was having a great deal of trouble shifting my vision from looking at things close up, and then looking at things across the room. Depth perception I guess. It made me feel that I am still not ready to drive. I would probably be just fine and not have any troubles at all. But when it comes to the ability to see far and near and being able to focus, it's pretty important to have that just right before getting behind the wheel. At my post op visit it was suggested that I wait about three months before getting an eye exam and getting a new eyeglasses prescription. I think that is what I will do. Then I will work on driving. Maybe I can find a driving class through AARP that will help our car insurance rates to go down.
Last night, as the group of us were leaving our women's group meeting, we were talking about how much we enjoyed Robin Williams as a dramatic actor more than as a comedic actor. When I got home, I got on the computer and saw that Robin Williams was dead. What a shock. It would have been in any context, but to have just been talking about him was kind of eerie.
Lots of people on Facebook and on TV are talking about suicide and depression and how important it is to get help. It is true. You have to be in a very painful place to even contemplate suicide- I know. But the awareness will fade in a few weeks and most of our lives will go on as before.
The UU (Unitarian Universalist) church does a great job of teaching the kids about the proper names for body parts, how we are born, about life and death. The younger grades plants seeds to see the growing in the earth. For the teens there is a great sexuality course. I. have thought for years that mental illness and social anxiety and difficulty should somehow be put into the UU Sunday school curriculum. I am afraid to suggest it because I will be invited to do the work of creating it, and I really cannot.
I am missing my sister terribly. She and her family went on a cruise. They left on Friday and will be back this Friday. I am so used to talking with her every day it doesn't feel right somehow!
------------------------------------------------------------------------------------------------------
Man, woman, birth, death , infinity. This is how the Ben Casey MD show started each week. But that is what we have isn't it? I mean we humans. Of course I know that this is simple. We have our identity, familial, social, internal; gender identification; birth- where we all start; death, where we all end; infinity- who knows what that is meant to be. Is it what we give to life and get from it? Is it the endless possibilities? The impossibilities? The universe? Afterlife?
Today was a Starbucks Breastfeeding cafe' day. Nick drove me. It was pouring down rain, and I expected a small turnout. I was so happy that there was a large turnout! There were two wonderful 5 month old baby boys; one very robust and chunky the other smaller, but both equally sweet. I got to hold then, in turn, and I got to savor their soft skin and their infections smiles and laughs. There was a 2 year old who is still a very avid nurser who has been coming with his mom since he was a newborn. The moms don't just talk about breastfeeding. They talk about going back to work, and how they will manage. The moms with the slightly older babies have been working and they are wonderful mentors and support for the moms getting ready to launch. The father of one of the babies died when the mom was only 12 weeks pregnant. So he never got to see his son, and his son will never know his dad. The one year anniversary of this young father to Be's death is looming and mom is feeling sad. She got a lot of listening, non judgement ears today.
I got complimented on recovering so well. Some of the moms have not seen me since surgery and they were impressed. That made me feel good and lifted my spirits.
Nick and I are planning to drive to Richmond on Thursday to visit Chance. I have not seen his newest apartment, so I get to see that. It will be good to spend a few hours with Chance too. His classes start in a week or so, and he will be pretty busy then.
Austin has signed up for classes too, at NOVA. We are looking forward that that. He had a job interview with Office Depot and we are keeping our fingers crossed that something good will come of it.
Oh, I have been given instructions (from my neurosurgeon) to wean off of the Keppra I have been taking. It is an anti-seizure medication, but it has been giving me arthritis like symptoms. It will take a few weeks, but I will be glad to stop taking it. I think when I stop hurting and aching all over, I will get more energy back.
Okay everybody- it's a wrap!
Friday, August 8, 2014
No, there really is NOT a good kind of brain tumor!
I am all wound up right now. We went out to take the cat to the vet (cat is okay). Talked to the vet about my scar from my brain surgery. When she asked, I told her I had a meningioma. She said "oh, at least you had the good kind". Boy, did that set me off! No, I did not yell at the vet. I smiled and left.
I know, I know. Compared to what it could have been, I am "lucky". As lucky as having a brain tumor. As lucky as having something inside my head that didn't belong there. As lucky as having my life disrupted for the last 5 months! I CAN walk and talk and think and read and do almost everything I could do before. But, I had my head cut open. I have a scar where my head was cut open. I have a metal plate and four screws that will be in my head for the rest of my life.
I am grateful to the team that did my surgery and helped me start getting my life back.
But I am also mad. Pissed off. This is a big huge deal . Grow a tumor and have brain surgery if you think it isn't.
I am selfish. I want my energy back. I want my independence back. I want my head to stop itching and hurting where the ingrown hairs are developing. I want to stop aching all over from the drugs I have to take.
I am tired. I am kind of depressed. If I wasn't already in my house and at my home, I might cry "I just want to go home!"
I am almost 8 weeks out from my surgery. I can't say really how I feel. No pain. No more headaches. My head itches like crazy at times. I feel frustrated. I am tired.
Some people with the same type of brain tumor as mine are only just feeling "normal" after 6 months or even a year. It was hard enough being me before all of this, but now I find it even harder. Nick does so much around the house, and with the cooking, he gets defensive when I ask for more. But we are so different that even after 42 years of marriage, sometimes I just don't get it. I cannot stand to sit. It feels like wasting time. Even when I watch TV, I am usually knitting. Of course I do waste time, by looking at facebook and reading email.
I am usually a very high energy person, off and running full speed ahead.. But I am not driving yet- not sure if I am ready or not. I get tired of asking for help. I get tired of needing help. I get tired of being tired!
Nick is retired. I know, intellectually, that he is entitled to rest and take time off. He has worked hard for years. But it makes me think of the time, many years ago, when he said "when we retire..." I don't grasp the concept. I don't want to stop. I am semi-retired from cooking because after cooking for a family of seven, plus half the neighborhood, I am pretty much done. When I am ready, I may start to cook again
I hear people on TV who say that going through tough times has made them appreciate life's little joys much more. I do understand that feeling. I am glad that I am still alive and don't have any major impairments. Really I am. But I cannot be a Hallmark card swirling around with rainbows all over. I do see the dust on the floors. I am sorry. Maybe I need a brain transplant next time. I also see that Nick works really hard at keeping the kitchen counters clean, because he knows I do care about that. Thank you Nick!
After my mother had her massive stroke (at just a year older than I am now), the first word she said, once she could speak, was "shit". I think, like it or not, I am my mother's daughter!
--------------------------------------------------------------------------------------
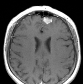
That's my tumor before it was evicted!
A meningioma is a type of tumor that develops from the meninges, the membrane that surrounds the brain and spinal cord. There are three layers of meninges, called the dura mater, arachnoid and pia mater. Most meningiomas (90 percent) are categorized as benign tumors, with the remaining 10 percent being atypical or malignant. However, the word benign can be misleading in this case, as when benign tumors grow and constrict and affect the brain, they can cause disability and even be life threatening.
Meningioma is the most common type of primary brain tumor, accounting for approximately 30% of all brain tumors. Meningiomas originate in the meninges, which are the outer three layers of tissue between the skull and the brain that cover and protect the brain just under the skull. Meningiomas grow out of the middle layer of the meninges, called the arachnoid. When they grow, they press against the brain or spinal cord.
The most common symptoms are:
No foreign matter, "benign" or not, belongs in your brain.
I know, I know. Compared to what it could have been, I am "lucky". As lucky as having a brain tumor. As lucky as having something inside my head that didn't belong there. As lucky as having my life disrupted for the last 5 months! I CAN walk and talk and think and read and do almost everything I could do before. But, I had my head cut open. I have a scar where my head was cut open. I have a metal plate and four screws that will be in my head for the rest of my life.
I am grateful to the team that did my surgery and helped me start getting my life back.
But I am also mad. Pissed off. This is a big huge deal . Grow a tumor and have brain surgery if you think it isn't.
I am selfish. I want my energy back. I want my independence back. I want my head to stop itching and hurting where the ingrown hairs are developing. I want to stop aching all over from the drugs I have to take.
I am tired. I am kind of depressed. If I wasn't already in my house and at my home, I might cry "I just want to go home!"
I am almost 8 weeks out from my surgery. I can't say really how I feel. No pain. No more headaches. My head itches like crazy at times. I feel frustrated. I am tired.
Some people with the same type of brain tumor as mine are only just feeling "normal" after 6 months or even a year. It was hard enough being me before all of this, but now I find it even harder. Nick does so much around the house, and with the cooking, he gets defensive when I ask for more. But we are so different that even after 42 years of marriage, sometimes I just don't get it. I cannot stand to sit. It feels like wasting time. Even when I watch TV, I am usually knitting. Of course I do waste time, by looking at facebook and reading email.
I am usually a very high energy person, off and running full speed ahead.. But I am not driving yet- not sure if I am ready or not. I get tired of asking for help. I get tired of needing help. I get tired of being tired!
Nick is retired. I know, intellectually, that he is entitled to rest and take time off. He has worked hard for years. But it makes me think of the time, many years ago, when he said "when we retire..." I don't grasp the concept. I don't want to stop. I am semi-retired from cooking because after cooking for a family of seven, plus half the neighborhood, I am pretty much done. When I am ready, I may start to cook again
I hear people on TV who say that going through tough times has made them appreciate life's little joys much more. I do understand that feeling. I am glad that I am still alive and don't have any major impairments. Really I am. But I cannot be a Hallmark card swirling around with rainbows all over. I do see the dust on the floors. I am sorry. Maybe I need a brain transplant next time. I also see that Nick works really hard at keeping the kitchen counters clean, because he knows I do care about that. Thank you Nick!
After my mother had her massive stroke (at just a year older than I am now), the first word she said, once she could speak, was "shit". I think, like it or not, I am my mother's daughter!
--------------------------------------------------------------------------------------
That's my tumor before it was evicted!
A meningioma is a type of tumor that develops from the meninges, the membrane that surrounds the brain and spinal cord. There are three layers of meninges, called the dura mater, arachnoid and pia mater. Most meningiomas (90 percent) are categorized as benign tumors, with the remaining 10 percent being atypical or malignant. However, the word benign can be misleading in this case, as when benign tumors grow and constrict and affect the brain, they can cause disability and even be life threatening.
Meningioma is the most common type of primary brain tumor, accounting for approximately 30% of all brain tumors. Meningiomas originate in the meninges, which are the outer three layers of tissue between the skull and the brain that cover and protect the brain just under the skull. Meningiomas grow out of the middle layer of the meninges, called the arachnoid. When they grow, they press against the brain or spinal cord.
The most common symptoms are:
- Headaches
- Seizures
- Blurred vision
- Weakness in your arms or legs
- Numbness
- Loss of balance
- Hearing loss
- Memory loss
No foreign matter, "benign" or not, belongs in your brain.
Thursday, August 7, 2014
Sometimes I want to yell....
I want to yell "I HAD BRAIN SURGERY". I don't know why I feel this way. It is just so strange that it happened to me. I mean, honestly, never ever in my wildest dreams would I have imagined having a brain tumor. What the fuck!?
Okay, got that out of my system. I guess I am still recovering. I have not driven a car since March (I think). I was going to drive up to the grocery store today while Nick was out today, but I sat and knitted instead. I don't feel like I am doing much lately. I knit and watch TV. Every now and then I unload the dishwasher if Nick hasn't beat me to it. I do laundry. It is alright. Good even. I don't really get bored. Yet. I think that this is what I have sort of imagined over all the years I was raising kids and doing housework. I always used to think of how wonderful it would be to just be able to knit or sew and not be interrupted.
I do get annoyed and frustrated by the same stuff that has always bothered me. Thinking (feeling) that my way it the right way. I guess I can work on that!
It's almost 2:00 am. I don't know why I stay up so late so often. Oh well, I have done this forver it seems.
Tomorrow is our last meal from church folks. It has been so nice to feel so cared for, but I am ready to let them stop. Monday I actually cooked dinner, for the first time in forever. Nick worked, and I knew he would be tired, so I put together a decent dinner. Maybe I will do that again one day!
Alright. Time for bed. Nite nite!
Okay, got that out of my system. I guess I am still recovering. I have not driven a car since March (I think). I was going to drive up to the grocery store today while Nick was out today, but I sat and knitted instead. I don't feel like I am doing much lately. I knit and watch TV. Every now and then I unload the dishwasher if Nick hasn't beat me to it. I do laundry. It is alright. Good even. I don't really get bored. Yet. I think that this is what I have sort of imagined over all the years I was raising kids and doing housework. I always used to think of how wonderful it would be to just be able to knit or sew and not be interrupted.
I do get annoyed and frustrated by the same stuff that has always bothered me. Thinking (feeling) that my way it the right way. I guess I can work on that!
It's almost 2:00 am. I don't know why I stay up so late so often. Oh well, I have done this forver it seems.
Tomorrow is our last meal from church folks. It has been so nice to feel so cared for, but I am ready to let them stop. Monday I actually cooked dinner, for the first time in forever. Nick worked, and I knew he would be tired, so I put together a decent dinner. Maybe I will do that again one day!
Alright. Time for bed. Nite nite!
Sunday, August 3, 2014
Childhood stress and trauma can cause obesity
/
I grew up in a very stressful and abusive household as did my siblings. My mother was a victim of the stress from our father, but a a kid I used to feel abandoned by my mother because she couldn't save me from the abuse. And in fact, she had her own brand.
So, today I was looking up article about women who have been sexually abused and how it can impact their breastfeeding. Since abuse of any type makes you question your ability to get things "right", we expect to fail at giving birth, breastfeeding, and mothering. Well, many of us do.
If you click on the picture on the top of this blog entry, it should take you take you to the article. I was amazed at how much of what is written applies to ME! It talks about the fact that many of us are not fat as kids and wore a nice sized wedding dress. We don't gain 10 pounds a year for years. We just sort of pack it on all at one. One hundred pounds in a year. I really feel like that is what happened to me. And the endocrinologist I was seeing and had been seeing for years finally "fired" me. As my weight went up, she would tell me how most of her patient's health problems were completely preventable and controllable. As I approached 200 lb, my doctor called and said that there was nothing else she could do for me and wished me luck. Thanks! It's not great being fat. Obese. Having a high BMI. When I see pictures of myself with my friends, I am the biggest woman in the group.
Yes, I know what to do lose weight. It is not that easy. When I got married I weighed 125. When I went to the hospital to have Austin, I was over 200#, but he was almost 10#. I lost all of that weight through breastfeeding and just being busy.
I am not really looking for pity. Maybe I am looking for understanding. From my friends who don't have to wear size 22. I have worked and worked at getting my body to be healthy. For the past 2+ years I have been going to the gym a minimum of three days a week, often 6 days a week. I could see a difference in my stamina and my ability to do things, but I am still the fat woman in the jogging pants and old t-shirt.
Yes, I was abused as a child. I will not talk about what my abuse is here. It is private. I may share it with my therapist one day. But, reading that article I feel a little bit better about learning that it is not just that I am slovenly or a pig that I am fat. I am damaged and I need to work on myself. I have been working on it for most of my life and I won't give up.
Now, I have to get recovered from my brain surgery so I feel well enough to get out and work out!
Oh, we went to the Reston Farmer's Market today. I took some nice pictures. I went into Small Change to see if they would sell some of my hats on commission. They said yes, and I left some hats there.
When we got home, I was so wiped out I couldn't even knit. That's bad for me!
I love Reston Farmer's Market!
I grew up in a very stressful and abusive household as did my siblings. My mother was a victim of the stress from our father, but a a kid I used to feel abandoned by my mother because she couldn't save me from the abuse. And in fact, she had her own brand.
So, today I was looking up article about women who have been sexually abused and how it can impact their breastfeeding. Since abuse of any type makes you question your ability to get things "right", we expect to fail at giving birth, breastfeeding, and mothering. Well, many of us do.
If you click on the picture on the top of this blog entry, it should take you take you to the article. I was amazed at how much of what is written applies to ME! It talks about the fact that many of us are not fat as kids and wore a nice sized wedding dress. We don't gain 10 pounds a year for years. We just sort of pack it on all at one. One hundred pounds in a year. I really feel like that is what happened to me. And the endocrinologist I was seeing and had been seeing for years finally "fired" me. As my weight went up, she would tell me how most of her patient's health problems were completely preventable and controllable. As I approached 200 lb, my doctor called and said that there was nothing else she could do for me and wished me luck. Thanks! It's not great being fat. Obese. Having a high BMI. When I see pictures of myself with my friends, I am the biggest woman in the group.
Yes, I know what to do lose weight. It is not that easy. When I got married I weighed 125. When I went to the hospital to have Austin, I was over 200#, but he was almost 10#. I lost all of that weight through breastfeeding and just being busy.
I am not really looking for pity. Maybe I am looking for understanding. From my friends who don't have to wear size 22. I have worked and worked at getting my body to be healthy. For the past 2+ years I have been going to the gym a minimum of three days a week, often 6 days a week. I could see a difference in my stamina and my ability to do things, but I am still the fat woman in the jogging pants and old t-shirt.
Yes, I was abused as a child. I will not talk about what my abuse is here. It is private. I may share it with my therapist one day. But, reading that article I feel a little bit better about learning that it is not just that I am slovenly or a pig that I am fat. I am damaged and I need to work on myself. I have been working on it for most of my life and I won't give up.
Now, I have to get recovered from my brain surgery so I feel well enough to get out and work out!
Oh, we went to the Reston Farmer's Market today. I took some nice pictures. I went into Small Change to see if they would sell some of my hats on commission. They said yes, and I left some hats there.
When we got home, I was so wiped out I couldn't even knit. That's bad for me!
I love Reston Farmer's Market!
Subscribe to:
Comments (Atom)
